我已经取下了各种随身物品,填好了检查单,以确定身上没有手术植入物,从心脏起搏器到宫内节育器。现在我又带上耳塞,等待进入。等等,请我接受安检?张开双臂,工作人员的金属检测器再一次检查了我的全身。

我来到的不是007电影里的神秘基地,而是扫描仪的磁体间。跟随着工作人员,我走进了一个灯光昏暗的房间,小房子中央被一个好像滚筒的大机器占据着。马上,我就要躺进那个滚筒中。和电影中的间谍不同,我接受的不是严刑拷打的审讯,但似乎还更恐怖——这台机器将把我脑中的想法扫描出来。
如果做一个调查,询问大家最想获得的超能力,读心术一定名列前茅。实际上,能够直接获知他人心理状态的能力,不仅仅是科幻小说家喜爱的题目,实际上也是古代神话中的常客。读心术不仅是许多人的愿望,也是不少人的隐私梦魇。如今,借助现代科技,我们似乎已经站到了这一能力的门口。
躺在床板上被推进了滚筒内部,我才注意到,所谓的滚筒其实并没有滚动装置,而是一个塑料包裹的桶装物。即便带着耳塞,我还是能听到噪音,现在,这种噪音更大了。
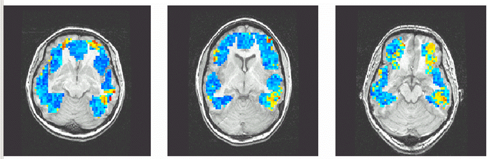
“请您注视眼前出现的图片,有可能是建筑物,也有可能是动物。您只要注视就可以,不需要做任何反应。请尽量保持头不动。”紧接着,随着噪音的增大,我眼前的屏幕上开始出现了一张张图片。图片只出现几秒就消失了,其实我并没有完全看清,但这没有关系,我的大脑已经开工了。不一会儿,屏幕上不再出现新的图片,噪音也减弱了不少。平板将我移出大桶,在外面,实验员已经微笑的等着我了。
经过一些数据处理,实验员告诉我,他们已经分解出了刚才的过程,那些状态下我看的是建筑物,而哪些又是动物,通过我大脑的变化可以一目了然。
旋转的磁球与墙上的斑点
刚才的大桶并不神秘,其实,在现在的医院中,它是一种非常常见的设备,通过核磁共振成像,能轻松检测身体内部,已经将健康带给了很多人。美剧《豪斯医生》中,进行核磁共振扫描检查是更是家常便饭。可是如果深入起来,它的原理确实有点复杂,从发现核磁共振现象,到现今的成像技术,中间是60余年的科学进展,和数个诺贝尔奖级别的科学发现。

了解核磁共振成像(Magnetic resonance imaging ,MRI)需要看看原子内部。不要担心,这里没有核辐射,只有我们关注的一个个小磁体——质子、电子这些基本粒子。这些带电粒子以一定的速度高速自旋,形成了有南北极的小磁球。人体中含有大量的氢原子,它的原子核——质子,将帮助我们给身体内部照相。
核磁共振仪的主磁场校正小磁球的旋转方向,激发磁场不断开关,将小磁球拉向一个方向,反复这个过程,小球就会不断的歪过来,倒过去,产生的电磁波就可以被接收到,从而处理成图像。不同组织中磁场强度不同,我们就可以在图像上区分大脑的灰质、白质、脑脊液等组织了。人脑活动时的血流变化也能被这种方式检测到,我们就通过血液的流动,判断哪些部分的脑组织正在工作。
为了成像清晰,这个主磁场要足够强。人体实验用的仪器,这一磁场的强度有时能达到3特斯拉或者7特斯拉。前者是地球磁场的6万倍,而后者则是14万倍。如此强大的磁场,会将靠近的手机等电子产品顷刻报销,还能把眼镜、钥匙之类的物品吸到机器上,更不用说会干扰心脏起搏器的运转,或者吸住病人的假肢等植入物了。所以,才有了刚才那一幕,进入磁体间前,必须严格检查,防止发生危险。好在,这是目前已知的核磁共振唯一的危险所在。
过去十几年的研究,我们一直在给认知活动寻找地址,例如,读词时某脑区活动,看画时则是另一个脑区。这就好像是在墙上寻找斑点,我们只关心斑点所在的位置。现在,一种称为多体素模式分析的范式改变了思路,我们不再关心某个斑点的位置,而是寻找大量斑点组成的模式。通过计算机模式识别,就可以判断大脑的状态,甚至读出大脑的活动。
脑中的天际线
去年,加州大学伯克利分校的家杰克·格兰特(Jack Gallant)公布了他们的研究成果。人类的初级视觉皮层位于大脑枕叶,也就是接近后脑勺的那个部分。眼球后面的神经束就是连接到这里的。格兰特的研究团队让两名志愿者观看youtube视频,之后仅通过他们视觉皮层的反应就重现了视频。